عکس بازیگران عکس بازیگران 89

A case of colorectal cancer in a 14 year old boy

 

Dr. Wondemagegnhu Tigeneh MD, MMED (RT),  FC Rad Onc.

 

Oncology Center, Medical faculty, Addis Ababa University, Addis Ababa, Ethiopia

 

Correspondence: Dr. Wondemagegnhu Tigeneh, Oncology Center,  Medical faculty, Addis Ababa University,  P.O.  Box  3819,  Addis Ababa,  Ethiopia;   Email: tigeneh@yahoo.com 

 

 

Afr J Haematol  Oncol  2010;1(3):89-92

 

SUMMARY

 

A 14-year-old boy presented with signs and symptoms of acute abdomen in a rural hospital, and at laparotomy was found to have right sided colorectal cancer (CRC).  CRC is thought to be a disease of old people but can occur in the paediatric population with lesser incidence but similar signs and symptoms compared to the former population. Studies have shown that CRC in the young population has unfavorable histology, is aggressive and presents at advanced stage with poor outcome. Ideally, CRC in the young must be treated as early as possible in a multidisciplinary approach.

 

Keywords: colorectal cancer; paediatric; clinical oncology; radiation oncology; carcinoma, mucinous; general surgery.

 

 

INTRODUCTION

 

Adenocarcinoma of the colon is the most common cancer of the gastrointestinal tract (GIT). 1 Colorectal cancer (CRC) is a disease primarily affecting the old population. 2 Approximately 150,000 new cases are diagnosed annually in the United States; only 0.053% of these are younger than 20 years old. 3 In a retrospective study done at St Jude pediatric Hospital, of 10,968 patients evaluated between  February 1964 and September 2003, only 0.9% (97) had epithelia neoplasm and only 81 had CRC. 4  In children, CRC is the second most common cancer of the alimentary tract after liver tumors with an incidence of 1.3-2 cases per million population.1,5 Most patients present during the second decade of life.1,6-7 The development of carcinoma of the colon in general appears to be associated with several predisposing factors, among them:  familial polyposis, hereditary nonpolyposis, inflammatory bowel disease (ulcerative colitis), previous ureterosigmoidostomy, previous radiation/chemotherapy and diet factors (high fat or low fibers diets).

 

CASE REPORT

 

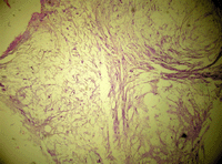
A 14-year-old boy from Mojo, an industrial town located 70 km from the capital of Ethiopia - Addis Ababa - on the way to Djibouti; presented in Adama Hospital with 3 days history of abdominal pain, nausea, vomiting ingested materials, and inability to pass flatus. He gave a history of presenting several times to a nearby clinic with long standing changing bowel habit, abdominal discomfort, anorexia, weight loss, weakness and constipation before developing the current signs and symptoms of acute abdomen. There was no history of a similar illness in the family. Laparotomy was done for acute abdomen and intraoperatively a mass of 8 by 6 cm was found in the ascending colon with signs of obstruction and omental deposit. Excision of the mass and colostomy were done. A month later the patient was referred to our oncology center with a biopsy result which confirmed poorly differentiated mucinous adenocarcinoma (Figure 1). On physical examination he had a good performance status, stable vital signs, a healed post-operative midline scar, a well functioning colostomy and normal rectal examination. Metastatic workup did not show any signs of metastasis. A tumor marker for gastrointestinal tumor Carcinoembrionic antigen (CEA) was 150 ng/ml.

 

View larger version

Figure 1. Histopathology of mass from ascending colon.  Poorly differentiated mucinous adenocarcinoma.

 

 

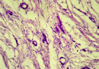
He was started on palliative chemotherapy (according to departmental protocol: leucovorin 20mg/m2 and 5-fluorouracil 375 mg/m2 day 1-5 to be repeated every 28 days) but while he was on chemotherapy he developed metastatic skin seeding of the surgical scar. The tumor marker CEA was elevated up to 273 ng/ml. After excision of the seeding mass on the scar (histology, Figure 2), he  received local radiotherapy and continued with chemotherapy. At seven months of follow-up he presented with progressive disease and died.

 

View larger version

Figure 2. Histopathology of scar excision. Poorly differentiated mucinous adenocarcinoma

 

 

DISCUSSION

 

CRC in young patients (age 21 years or younger) is rare and has a well-recognised aggressive, often fatal course, but the genetic origin and developmental biology of this disease are poorly understood. 8-10

 

In Ethiopia due to lack of national cancer registry, the pattern and the outcome of this GIT cancer is unknown. A prospective 5-year study in the period 1992-1996 done in one of our referral central hospitals (Tikur Anbesssa Specialised Hospital) showed that a total of 534 patients were diagnosed to have GIT cancer of whom 437 were analysed.  The mean age of all the GIT cancer cases was 52, and 32.5% of them were esophageal cancer, 30% CRC, 22 % gastric cancer and 15.5% pancreatobiliary cancer.11 Initial signs and symptoms of CRC are similar in both paediatric and adult patients.12  The strikingly higher frequency of mucinous histology suggests that the biology of CRC differs in paediatric and adult patients and may contribute to poor outcomes. 12 Our patient had no positive family history, and no history of exposure to radiation and chemicals. Notably, he gave a history of multiple visits to a primary health facility which did not assist in identifying his problem until he presented acutely.

 

A study done in California 2 in the USA confirmed, in an ethnically diverse population, that CRC tends to be advanced, aggressive, and frequently non-operable at the time of diagnosis in the young population. In this particular study, 44% of the lesions were right-sided in the young group compared with 21% in the older group. Advanced tumor (Stage T3 or T4) was noted in 87.8% of the young and 63% of the older patients. Poorly differentiated tumor grade was more common in young patients as well as mucinous/signet ring characteristics. In addition, this particular study found that young patients had an increased likelihood of a family history and because of advanced disease on presentation, almost all of them were nonoperable at time of diagnosis. Our patient had right sided CRC, aggressive mucinous type of histology and advanced stage with omental deposits, which correlate with the findings of this study except family history.

 

In Memorial Sloan-Kettering Cancer Center 13,14 a study done on young patients with CRC to assess the hereditary basis of this disease showed that 76% of patients had sporadic CRC (22 of 29 patients). In contrast to the above study done in California 2, most patients had no clinical features suggestive of hereditary CRC other than a young age at on onset. 13,14 It is important for physicians to recognize the poor outcome of CRC in the younger population and consider an aggressive approach to diagnosis and early treatment. 15

 

Sporadic colon cancer in young patients is an aggressive disease whose morphology and natural history differ from patients with familial adenomatous polyposis, hereditary nonpoloposis CRC, and adult CRC. The tumor appears to develop by means of either of two pathways: one involving a tumor suppressor or loss of heterozygosity and the other involving a mutation. 14 However, it is likely that other genetic or developmental factors account for the aggressive course and poor outcome of this disease.  The other reasons for poor survival are likely to be delayed diagnosis, advanced clinical stage at presentation, and increased incidence of high-grade tumors. The increased frequency of mucinous variety and the preponderance of right-sided lesions contribute to the advanced stage at diagnosis.1,16

 

 

CONCLUSION

 

CRC is very rare in the young, but has similar clinical presentation and clinical findings to CRC in adults. Most paediatric CRC is sporadic, shows mucinous histology, is right sided, is locally advanced and/or metastatic and has poor prognosis. Because of all these factors, CRC in the young must be treated as early as possible in a multidisciplinary approach.

 

ACKNOWLEDGMENT

 

I would like to thank Dr. Mesfin of the Department of Pathology, Addis Ababa University,  for his cooperation in providing histopathology images.

 

FOOTNOTES

 

Conflicts of interest: The author declares no competing conflicts of interest

 

 

REFERENCES

 

1.     Rao BN, Pratt CB, Fleming ID, Dilawari RA, Green AA, Austin BA. Colonic ca in children and adolescent. A review of 30 cases.  Cancer. 1985;55(6):1322-6. 

2.     Karsten B, Kim J, King J, Kumar RR. Characteristics of colorectal cancer in young patients at an urban county hospital. Am Surg. 2008;74(10):973-6.

3.     Thibodeau SN, Bren G, Schaid D. Microsatellite instability in cancer of the proximal colon. Science 1993;260:816-819

4.     Hill DA,  Furman WL,  Billups CA,  Riedley SE, Cain AM, Rau BN. Colorectal  cancer in childhood and adolescence: A clinicopathologic Review. J Clin Oncol 2007;25:5808-5814   

5.     Odone V, Chang L, Caces J, George SL, Pratt CB.  The natural history of colorectal  carcinoma in adolescents. Cancer. 1982;49(8):1716-20. 

6.     LaQuaglia MP, Heller G, Filippa DA et al. Prognostic factors and outcome in patients 21 years and under with colorectal carcinoma. J Pediatr Surg. 1992;27(8):1085-90. 

7.     Steinberg JB, Tuggle DW, Postier RG. Adenocarcinoma of the colon in adolescents. Am J Surg. 1988;156(6):460-2. 

8.     Askling J, Dickman PW, Karlén P et al. A Family history as a risk factor for colorectal cancer in inflammatory bowel disease. Gastroenterology. 2001;120(6):1356-62

9.     Vogelstein B. Genetic testing  for cancer: the surgeon's critical role. Familial colon cancer  J Am Coll Surg. 1999;188(1):74-9. 

10.  Gondos A, Chokunonga E, Brenner H et al.  Cancer survival in  Southern  African Urban population. Int  J Cancer. 2004;112:860-64   

11.  Ersumo T. Gastrointestinal tract cancer: A 5 years study  in a teaching  central referral hospital, Ethiopia. Ethiop Med. J. 2000;38:93-103.

12. Hill DA, Furman WL, Billups CA et al. Colorectal Carcinoma in Childhood and Adolescence: A Clinicopathologic Review. J Clin Oncol. 2007;25(36):5808-581

13.  Datta RV, LaQuaglia MP, Paty PB. Genetic and Phenotypic Correlates of Colorectal Cancer in Young Patients. N Engl J Med. 2000;342:137-138

14.  O'Connell JB, Maggard MA, Livingston EH, Yo CK. Colorectal cancer in the young. Am J Surg. 2004;187(3):343-8

15.  Densmore TL, Langer JC, Molleston JP, Dehner LP, Coffin CM. Colorectal adenocarcinoma as a second malignant neoplasm following Wilms' tumor and rhabdomyosarcoma. Med Pediatr Oncol. 1996;27(6):556-60

16.  Consortti F, Lorenzotti A, Midri G, et al. Prognostic significance of mucinous Carcinoma of colon and rectum: Aprospective case control study J Surg Oncol 2000;73:70-74.

میز اداری صندلی مدیریتی صندلی اداری تبلیغات کلیکی میز تلویزیون پاراگلایدر آگهی رایگان محسن چاوشی مسیح و آرش آهنگ جدید دانلود آهنگ جدید خرید اینترنتی عکس بازیگران اطفار عکس بازیگران