figure2.png

 

 

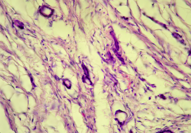
Figure 2. Histopathology of scar excision.

Poorly differentiated mucinous adenocarcinoma.