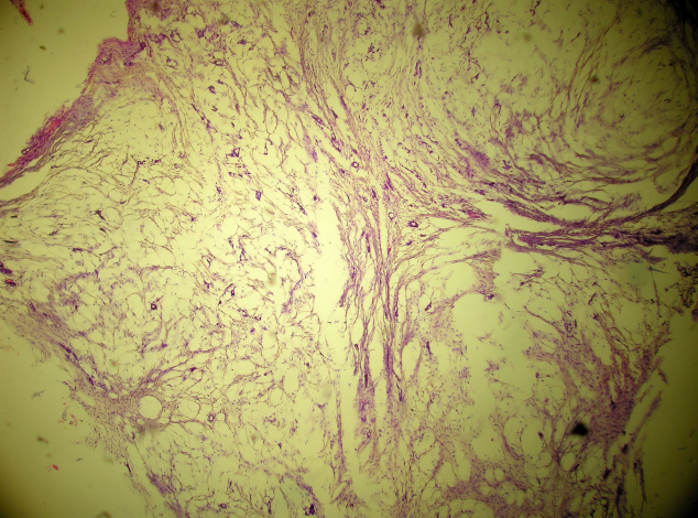
figure1.png

 

Figure 1. Histopathology of mass from ascending colon. 

Poorly differentiated mucinous adenocarcinoma.