عکس بازیگران عکس بازیگران 162

Complete resection of a lymphomatoïd granulomatosis in a diabetes patient

 

Dr Mohammed Herrag MD,  Dr Hafsa Sajiai MD, Dr Lamyae Amro MD, Dr Saad Lahmiti MD, Prof Abdelhaq Alaoui Yazidi MD, PhD.

 

Department of Respiratory Disease, Ibn Nafis Hospital, Mohammed VI University Hospital, “Heart- Lungs Working Group”, Faculty Of Medicine of Marrakesh, Cadi Ayyad University, Marrakesh, Morocco.

 

Corresponding author: Mohammed Herrag,  Service de Pneumologie, Hopital Ibn Nafis, 40000. Marrakesh, Morocco;  Email: herrag.respir@gmail.com; Tel: +212 661 494552;  Fax: +212 524 453654

 

 

Afr J Haematol  Oncol  2011;2(1):162-165 

 

 

SUMMARY

 

Lymphomatoïd granulomatosis is a rare lymphoproliferative disease with a poor prognosis. Surgery alone is rarely indicated.

A 53 year old woman with a 10 year history of diabetes mellitus was admitted for a left parahilar opacity on chest X- ray not responding to antibiotics with a high suspicion of lung carcinoma. A left pneumonectomy was performed. The pathological study showed a lymphomatoïd granulomatosis. Three years after surgery, no relapse had occurred.

Surgery is a successful strategy in some rare localized cases of Lymphomatoïd granulomatosis. Diabetes mellitus could have a potential role in its pathogenesis.

 

Keywords: Lymphomatoid granulomatosis; Surgery; Autoimmune Diseases; Diabetes mellitus; Radiography.

 

 

INTRODUCTION

 

 

Lymphomatoid granulomatosis (LYG) is a multisystemic angiocentric lymphoproliferative disease with a poor prognosis. 1-3 LYG is most common in immunosuppressed patients and in patients with a variety of autoimmune disorders.4-5 Compared to chemotherapy, surgical resection is rarely indicated. We report the case of LYG occurring in a patient with diabetes mellitus which had been successfully resected.

 

 

CASE REPORT

 

 

A 53 year-old woman with a 10 year history of diabetes mellitus managed by insulin therapy had presented eight months before admission with a chronic cough, dyspnoea on exercise, and moderate left chest pain with a 4kg weight loss. These symptoms progressed with the occurrence of haemoptysis despite a broad-spectrum antibiotic that was prescribed for a presumed pneumonia few weeks before. The patient denied any other symptoms. She had no personal or family history of pulmonary tuberculosis or tobacco use.

 

On admission, the patient had a 38°C temperature, 87 beats/min pulse, 130/70 mmHg blood pressure with a 95% oxygen saturation while breathing room air. Respiratory crackles were heard over the left lung field. The rest of the clinical examination was normal. Full blood count, serum chemistries, renal and liver function tests were normal. The screening for human immunodeficiency virus was negative. Sputum cultures were sterile for bacteria, fungi and acid fast bacilli. A bone marrow aspirate and biopsy was normal. A chest X- Ray revealed a left parahilar opacity (Figure 1). Chest CT-scan (Figure 2) revealed a bronchial tumour mass of the left superior lobe classified as T3N0MO: stage IIIA. Bronchoscopy showed an incomplete stenosis by an infiltration of the upper lobe. Biopsies revealed nonspecific inflammation. An extrapericardic left pneumonectomy was performed because of the high suspicion of lung carcinoma. The immuno-histochemical staining showed a polymorphous lymphoid infiltrate expressing CD3+ T cells and CD20+ and CD30+ B cells, and a perivascular infiltrate with extensive tissue necrosis in keeping with angiitis; these findings were consistent with the diagnosis of LYG grade 2 by WHO classification (Figure 3). The patient refused any adjuvant chemotherapy. There was no evidence of any clinical or radiological signs of relapse three years after surgery (Figure 4).

 

 

View a larger version

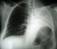
Figure 1. A chest X- Ray showing a left parahilar opacity

 

 

View a larger version

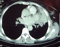
Figure 2. Chest CT-scan showing a bronchial tumour mass of the left superior lobe.

 

 

View a larger version

Figure 3.  (A) a polymorphous lymphoid infiltrate and a perivascular infiltrate with extensive tissue necrosis in keeping with angiitis; expressing CD3+ T-cells (Slide B), CD20+ and CD30+ B cells (slide C) on immunohistochemical staining. These findings  were consistent with the diagnosis of LYG grade 2 by WHO classification.

 

View a larger version

Figure 4.  A Chest X-ray showing no radiological signs of relapse three years after surgery.

 

 

 

 

DISCUSSION

 

 

LYG is a rare lymphoproliferative disease. It was originally classified among a group of benign diseases characterised by pulmonary angiitis and granulomatosis. 1 This definition, however, can be misleading since there are no real granulomas present pathologically. 2 Actually LYG is recognized as a B-cell lymphoma related to Epstein-Barr virus (EBV) infection. 2-3 Males seem to be more susceptible than females. LYG has a 2:1 male-to-female ratio and an average age of onset at 50 years. Patients are generally symptomatic at the time of presentation. The most frequent signs and symptoms include fever, cough, shortness of breath, rash, and weight loss. These symptoms often precede the diagnosis of LYG by weeks to months which was the same in our patient. Isolated respiratory cases are very rare and patients with LYG characteristically are found to have multiple organs affected. 2 They can precede, coincide with or follow the onset of respiratory as well as skin (36–53% of cases); and central nervous system (50% of cases) 2 manifestations. Other extrapulmonary manifestations such as kidneys, arthralgia, ocular, gastrointestinal, heart and upper respiratory tract have been observed in 10% of cases.

 

However, despite its lymphoproliferative nature, the lymph nodes, spleen and bone marrow usually are spared until late in the course of illness. 2 Many reports have shown the association between LYG and several autoimmune disorders such as rheumatoid arthritis, Gougerot- Sjogren syndrome, ulcerative colitis, psoriasis, and sarcoîdosis 2,4-5 and have advocated their possible role in the LYG pathophysiology. Diabetes mellitus could also play the same role. Indeed, diabetes is associated with an altered immune function and a chronic inflammation. Both of these immune conditions are implicated in the pathogenesis of non-Hodgkin lymphoma. Lin et al demonstrated that preexisting diabetes mellitus was an independent risk factor for the occurrence of non-Hodgkin's lymphoma. 6 Khan et al found an increased risk of B-cell chronic lymphocytic leukemia among men with diabetes. 7 In our opinion, this relationship between diabetes and non-Hodgkin’s lymphoma can be applied also to LYG which is a sort of subtype of non Hodgkin’s lymphoma. However, further studies are needed to highlight this supposed pathophysiological mechanism.

 

Radiological abnormalities are non specific and include bilateral nodules or masses in the lower and peripheral lung fields (80-100%). 8 These nodules may cavitate and be responsible for haemoptysis. Pleural effusions are usually present. Pneumonitis or large mass-like lesions and pneumothorax are rare.

 

Differential diagnosis of LYG includes histoplasmosis, tuberculosis, abcess formation, hydatid cysts, malignant lymphoma, lymphocytic interstitial pneumonia, metastasis, sarcoidosis, Wegener granulomatosis and cryptogenic organizing pneumonia. 8 Establishing the diagnosis of LYG usually requires an open lung or video-assisted thoracoscopic biopsy, while bronchoscopic procedure is generally non contributive as demonstrated in our case.

 

Pathological study shows a polymorphous infiltrate predominantly consisting of lymphocytes. The majority of the lymphocytes are T cells and CD4 positive as well as CD8 and CD3 positive subsets, without malignant features. Immunoblasts are large atypical CD20 positive B cells. The infiltrate is concentrated around small arteries and veins and causes destruction of the vessels. Necrosis develops due to direct T cell invasion, causing infarction, and due to destruction of the vessels resulting in fibrinoid necrosis. 2-3 The WHO recommends a histological severity grading system from one to three determined by the degree of cytological atypia, extent of necrosis and retention of a polymorphous cellular infiltrate.

 

There is no standardised treatment for LYG but most patients are treated with corticosteroids, either as single agent or combined with cyclophosphamide. Rituximab, ganciclovir or Interferon alfa-2b has been tried with variable results. Radiotherapy and Surgery had been used in some cases. In LYG the median survival from diagnosis is 14 months. The cause of death is usually extensive destruction of the pulmonary parenchyma, resulting in respiratory failure, sepsis, and occasionally massive hemoptysis. 2-4 Our patient remains disease free after three years of follow-up, despite getting no adjuvant therapy.

 

CONCLUSION

 

Lung resection Surgery in LYG, even though rare, could be a good option not only for diagnosis but also for therapeutic purposes. The relationship between LYG and diabetes remains to be clarified.

 

 

FOOTNOTES

 

Conflicts of interest: The authors declare no competing conflicts of interest

 

 

REFERENCES

 

  1. Liebow AA, Carrington CB, Friedman PJ. Lymphomatoid granulomatosis. Hum Pathol. 1972;3:457–558.
  2. Cadranel J, Wislez M, Antoine M. Primary pulmonary lymphoma. Eur Respir J. 2002; 20: 750–762.
  3. Katzenstein AL, Peiper SC. Detection of Epstein-Barr virus genomes in lymphomatoid granulomatosis: analysis of 29 cases by the polymerase chain reaction technique. Mod Pathol. 1990; 3: 435–41.
  4. Beste LA, Ansari-Lari A, Borowitz M, Flynn JA.  Lymphadenopathy, Cough, and Fever in a 51-Year-Old Woman With Systemic Lupus Erythematosus: Case Report of  Lymphomatoid granulomatosis. Arthritis & Rheumatism. 2005; 53: 621–4.
  5. Capron F, Audouin J, Diebold J, Ameille J, Lebeau B, Rochemaure J. Pulmonary polymorphic centroblastic type malignant lymphoma in a patient with lymphomatoid granulomatosis, Sjogren syndrome and other manifestations of a dysimmune state. Pathol Res Pract. 1985; 179: 656–65.
  6. Lin SY, Hsieh MS, Chen LS, Chiu YH, Yen AM, Chen TH. Diabetes mellitus associated with the occurrence and prognosis of non-Hodgkin's lymphoma. Eur J Cancer Prev. 2007; 16: 471-8.
  7. Khan AE, Gallo V, Linseisen,J et al.  Diabetes and the risk of non-Hodgkin’s lymphoma and multiple myeloma in the European Prospective Investigation into Cancer and Nutrition. Haematologica. 2008; 93:842-50.
  8. Lee JS, Tuder R,  Lynch DA. Lymphomatoid Granulomatosis: Radiologic Features and Pathologic Correlations. AJR. 2000; 175:1335–39.
میز اداری صندلی مدیریتی صندلی اداری تبلیغات کلیکی میز تلویزیون پاراگلایدر آگهی رایگان محسن چاوشی مسیح و آرش آهنگ جدید دانلود آهنگ جدید خرید اینترنتی عکس بازیگران اطفار عکس بازیگران