عکس بازیگران عکس بازیگران 3-19

Multiple granulocytic sarcoma associated with essential thrombocythemia

 

Yacouba Lazare Diallo 1-2, Marc Bernard1, Patrick Tas3,  Thierry Lamy1,4

 

1 Clinical Hematology Department of Rennes University Hospital, France.

2 Clinical Hematology Department of Point ‘’G’’ University Hospital, Mali.

3 Histopathology Department of Rennes University Hospital, France.

4 INSERM, UMR U917, France.

 

Corresponding author: Dr Yacouba Diallo, Clinical Hematology of Point ‘’G’’ University Hospital, Box: 03 BP: 106 Bamako, Mali. Email: yldialloml@gmail.com or yldiallo2006@yahoo.fr.

 

Afr J Haematol Oncol 2013;3:19-23

 

SUMMARY

 

Evolution of Essential Thrombocytemia (ET) to granulocytic sarcoma is a rare event. Here we report a case of multiple granulocytic sarcomas occurring twelve months after diagnosis of ET.

 

A 57 year old woman was diagnosed with ET at the haematology department of Rennes University Hospital.  She was treated with hydroxyurea , and following poor response she was switched to pipobroman and then anagrelide which were both stopped because of  intolerance.

 

Twelve months later, the patient presented with osteolysis and a diagnosis of acute megakaryoblastic leukemia (AML7) was made with CD34, CD31, EMA (epithelial membrane antigen), lysozym, factor VIII and myeloperoxidase (MPO) positive cells.  A partial remission (leukocyte and platelets counts normalized) was obtained after induction with cytarabin and idarubicin. The patient died five months later due to lung infection following salvage chemotherapy.

 

In conclusion, granulocytic sarcoma associated with ET is a very rare event. Bone lysis is an unusual presentation. The prognosis is unfavorable since disease is chemorefractory.

 

 

Keywords: Thrombocythemia, Essential; Leukemia, Megakaryoblastic, Acute; Sarcoma, Myeloid;  Osteolysis; Myeloproliferative Disorders.

 

 

INTRODUCTION

 

Essential thrombocythemia (ET) is a myeloproliferative disorder characterized by an effective megakaryocytic precursor proliferation. 1 Under treatment, life span varies between 10 and 12 years. 2 It can evolve into bone fibrosis, myelodysplasia or acute leukemia. 2-3 Evolution of ET to granulocytic sarcoma which is an extra-medullary tumor of immature myeloid cells is a rare event. 3 Here we report a case of multiple granulocytic sarcoma occurring twelve months after  ET diagnosis.

 

CASE REPORT

 

In November 2005, a 57 year old woman was diagnosed with ET at the haematology department of Rennes University Hospital. The full blood count (FBC) showed haemoglobin concentration (Hb) of 10 g/dL; white cell count (WBC) of 6.5 x 109/L  with a differential count of  64% neutrophils, 23% lymphocytes, 8% eosinophil, and 5% monocytes; and platelet count (Plt) of 1,106 x 109/L. No other cause of thrombocytosis was found. She was negative for BCR-ABL and Jak2-V617F mutations.  Karyotype was normal 46 ,XX. Iron status analysis showed: serum iron of  36.3 µmol/L (N: 12.5 - 25);  serum ferritin  of 626 µg/l (N: 29-166); transferrin of 2.2 g/L (N: 2-3.8) and saturation coefficient  of 66% (N: 23-46). No p.Cys282Tyr (C282Y) and p.His63Asp (H63D) mutations for the haemochromatosis gene (HFE) were found. Serum erythropoietin level was 88 mUI/L (N: 8.2- 20).  Bone marrow biopsy revealed a megakaryocytic hyperplasia associated with a systematic and middle intensity disseminated myelofibrosis. The diagnosis of ET was confirmed with 21.67% of spontaneous growth of megakaryocytic progenitors.

 

The patient was treated with hydroxyurea (1 g/day for 3 months) with poor  response and was switched to pipobroman (50 mg/day for 6 months) and then anagrelide (1 mg/day for 3 months).  Pipobroman and anagrelide were stopped because of intolerance.

 

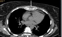
Twelve months later, sternal  osteolysis (Figure 1) and a 6th left rib fracture were identified. Haematological investigation revealed anaemia (8 g/dL), WBC of 20 x 109/L with neutrophilia and Plt of 150 x 109/L. Rib and sternal biopsies (Figures 2 and 3) revealed the diagnosis of acute megakaryoblastic leukemia (AML7). Cells expressed: CD34, CD31, EMA (epithelial membrane antigen), lysozym, factor VIII and MPO. They were negative for: CD3, CD5, CD20, CD73a, CD56, CD68, and CD15AB antigens. Karyotype remained normal.

 

A partial remission (leukocyte and platelets counts normalized) was obtained after induction with cytarabin 200 mg/m² days 1-7 and idarubicin 8 mg/m² days 1-5. Two months later the patient developed left mandible lyses (Figure 4) and left femur neck pathologic fracture (Figure 5). Biopsies of these lesions confirmed early relapse, while bone marrow biopsy was normal. The patient died five months later due to lung infection following salvage chemotherapy.

 

 

View larger version

Figure 1. Scanner view of lytic lesions on the sternum

 

 

View larger version

Figure 2. Bone marrow biopsy showing imature cells of variable size and some bone marrow fibrosis (at x 20 magnification)

 

 

View larger version

Figure 3. Biopsy of  lesion on the sternum showing dystrophic megakaryocytes (at x 20 magnification)

 

 

View larger version

Figure 4. Standard graphic view of  left mandible lytic lesion

 

 

View larger version

Figure 5. Standard graphic view of pathological fracture of the left neck of femur

 

 

 

DISCUSSION

 

Essential thrombocythemia is a clonal myeloid cell progenitor disease characterized by increased platelet counts above 450 x 109/L. 3 It can transform to myelofibrosis, myelodysplasia or in 0.6 to 6.1% of cases into acute leukemia. 3 Transformation into granulocytic sarcoma is unusual. Here, we reported a multiple granulocytic sarcoma diagnosed twelve months after diagnosis of ET.

 

In 1811, Burns described the first granulocytic sarcoma or “chloroma” which is an extra-medullary myeloid cell proliferation. 3 It can be a manifestation, relapse or complication of hematologic malignancies. Five other cases secondary to ET have been reported in the literature (Table 1).

 

 

View table

Table 1. Literature reporting granulocytic sarcoma complicating Essential Thrombocythemia

 

 

In our case, granulocytic sarcoma was diagnosed twelve months after ET. This period is less than the mean of 84 months (range 72-204 months) reported in the literature. 3-8

Clinical presentation of granulocytic sarcoma is highly polymorphic and depends on the anatomic tumor site. Isolated or diffuse pain crisis present in this case, are frequent symptoms. However, multifocal lyses and pathological fracture, described in this case seem to be uncommon.

 

Bone lesions were easily diagnosed with imaging methods (standard radiography, scanner and magnetic resonance imaging). But, blast infiltration is not easily identified on histology.

Immature cell markers (CD34, CD117) and pan-leukocyte antigens (MPO, lysosym and CD31) are usually expressed in case of granulocytic sarcoma. 3 Diagnosis of AML7 was based on CD34, CD31, MPO, lyzosym and factor VIII antigens expression. 2

Therapeutic strategies are not standardized. This explains why different protocols have been proposed in this setting. 2,4,6-8 Our patient had partial remission after induction using cytarabin and idarubicin. Salvage therapy using mitoxantrone, cytarabin and etoposide was not efficacious and AML7 prognosis is poor. Pagano L et al reported a mean of 35 weeks of complete remission in the GIMEMA study group. 9 Complete remission was not obtained in our case, and the length of partial remission was four months. Granulocytic sarcoma has a very poor prognosis, especially when it presents as AML7 extra medullar presentation. 

 

To date, extra medullary AML7 pathogenesis is unclear. Hashimoto H et al  speculated that thrombopoietin (TPO) can play a crucial role in myeloproliferative disorder transformation to AML7. 10 TPO is a ligand of c-mpl witch is essential for the growth and differentiation of megakaryocytes. It acts in vivo as well as in vitro by itself or together with other synergistic cytokines such as stem cell factor (SCF), interleukin-3 (IL-3), IL-6, IL-11, granulocyte/macrophage colony-stimulating factor (GM-CSF) and/or erythropoietin (EPO).

Wakikawa T et al demonstrated osteoclastogenesis inhibition with TPO and other cytokines (TGFβ and PDGF) in this context. 11 They advocated the possibility that TPO can inhibit osteoclast proliferation and increase osteoclastic precursor death, which may contribute to the pathogenesis of osteosclerosis. It could be facilitated by PDGF and TGFβ. 11

 

CONCLUSION

 

Granulocytic sarcoma associated with ET is a very rare event. Bone lysis is an unusual presentation. The prognosis is unfavorable since disease is chemorefractory.

 

ACKNOWLEDGEMENT

 

We thank Prof Dapa A Diallo, Prof Mounirou Baby and Dr Aldiouma Guindo for their support and advice.

 

 

FOOTNOTES

 

Competing interests. Authors declare no competing interests.

 

 

REFERENCES

 

1.       Jean-François V, Parrens. M. Recent advances in essential thrombocythemia. Medecine Therapeutique. 2009;15(1):35-46.

2.       Tefferi A. Essential thrombocythemia, polycythemia vera, and myelofibrosis: current management and the prospect of targeted therapy. Am J Hematol. [Review]. 2008 Jun;83(6):491-7.

3.       Stephane V, Natacha M, Varet. B. Granulocytic sarcoma. Hématologie. 2001;7(3):200-7.

4.       Au WY, Shek TW, Ma SK, Leung G, Ooi GC, Liang R, et al. Myeloblastoma (chloroma) in leukemia: case 2. Meningeal granulocytic sarcoma (chloroma) in essential thrombocythemia. J Clin Oncol 2000;18(23):3996-7.

5.       Famoso G, Ponzoni M, Freschi M, Cunsolo FL, Tresoldi M, di Comite G, et al. Megakaryoblastic differentiation of myeloid sarcoma in a patient with essential thrombocythemia. Leuk Lymphoma 2006;47(11):2414-7.

6.       Desplechin A, Mekinian A, Rossignol J, Denis G, Gosset P, Cambier N, et al. Isolated megakaryoblastic bone sarcoma revealing acute myeloproliferative syndrome. Joint Bone Spine 77(3):277-8.

7.       Shikata H, Matumoto T, Teraoka H, Kaneko M, Nakanishi M, Yoshino T. Myeloid sarcoma in essential thrombocythemia that transformed into acute myeloid leukemia. Int J Hematol 2009;89(2):214-7.

8.       Tanaka Y, Nagai Y, Mori M, Fujita H, Togami K, Kurata M, et al. Multiple granulocytic sarcomas in essential thrombocythemia. Int J Hematol 2006;84(5):413-6.

9.       Corrado Girmenia, Pietro Martino. Pulmonary Infections Complicating Hematological Disorders. Seminars In Respiratory And Critical Care Medicine 2005;26(5):445-457.

10.   Pagano L, Pulsoni A, Vignetti M, Mele L, Fianchi L ea. Acute megakaryoblastic leukemia: experience of GIMEMA trials. Leukemia 2002;16:1622-1626.

11.   Hashimoto S, Toba K, Fuse I, Watanabe K, Takahashi H et al. Thrombopoietin activates the growth of megakaryoblasts in patients with chronic myeloproliferative disorders and myelodysplastic syndrome. Eur J Haematol 2000; 64:225-230.

12.  Wakikawa T, Shioi A, Hino M, Inaba M, Nishizawa Y, Tatsumi N, et al. Thrombopoietin inhibits in vitro osteoclastogenesis from murine bone marrow cells. Endocrinology 1997;138(10):4160-6.

 

میز اداری صندلی مدیریتی صندلی اداری تبلیغات کلیکی میز تلویزیون پاراگلایدر آگهی رایگان محسن چاوشی مسیح و آرش آهنگ جدید دانلود آهنگ جدید خرید اینترنتی عکس بازیگران اطفار عکس بازیگران