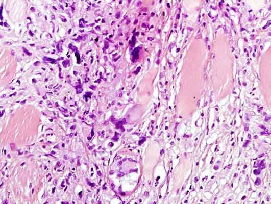
Figure 3. Biopsy of  lesion on the sternum showing dystrophic megakaryocytes (at x 20 magnification).