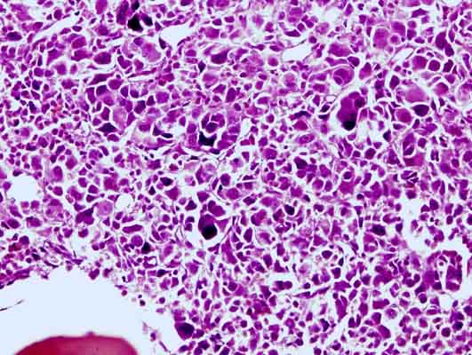
Figure 2. Bone marrow biopsy showing imature cells of variable size and some bone marrow fibrosis (at x 20 magnification).