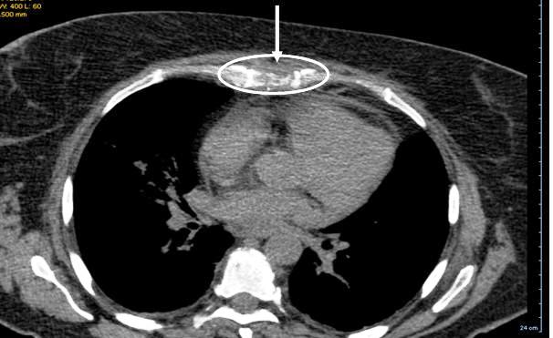
Figure 1
. Scanner view of lytic lesions on the sternum